HyperAI
Command Palette
Search for a command to run...
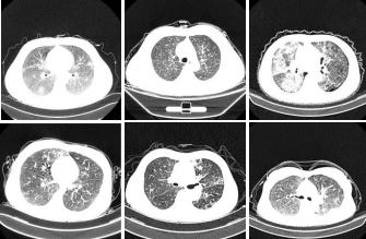
CC-19 COVID-19 Dataset

CC-19 is a small dataset related to COVID-19. The dataset contains 34,006 CT scans (images) involving 98 individuals, of which 28,395 CT scans belong to COVID-positive patients.
CC-19.torrent
Seeding 1Downloading 0Completed 197Total Downloads 319
This dataset is contributed by community users and is intended for educational and informational purposes only. If any content involves copyright infringement, please contact us at [email protected] for prompt review and removal.
Build AI with AI
From idea to launch — accelerate your AI development with free AI co-coding, out-of-the-box environment and best price of GPUs.
AI Co-coding
Ready-to-use GPUs
Best Pricing
HyperAI Newsletters
Subscribe to our latest updates
We will deliver the latest updates of the week to your inbox at nine o'clock every Monday morning
Powered by MailChimp